比龅牙更揪心的是—深覆合?
比龅牙更揪心的是—深覆合?
世间上的美千篇一律,但丑却可以有万种姿态,比如牙丑。

图片来源网络
一口龅牙的人往往给人的第一印象就是,“嗯,你是个龅牙…”,但有一种牙齿形态埋藏的很深,如果加上自己比较注意,往往第一印象不会给人留下太明显的痕迹,这就是深覆合。

图片来源网络
有人说,龅牙很丑,但又有一些人觉得,深覆合更让人难以接受,难道深覆合真的这么让人揪心吗?
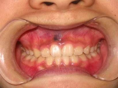
啥是深覆合?

图片来源网络
深覆合是一种上下颌牙弓,或上下颌骨垂直向发育异常所导致的错颌畸形。也就是在我们咬牙时,下牙被上牙全部盖住,或只露出很少一部分,就可以判断为深覆合。

图片来源网络
娱乐圈中刘亦菲就是一个典型的例子,不笑的时候美的脱俗,一旦笑起来上牙几乎完全盖住下牙,并暴露过多的牙龈,这就是深覆合典型的例子。
深覆合的危害有哪些?
降低颜值

图片来源网络
深覆合的人往往下巴后缩,咬肌肥大,下颌角比较方(对,就是方下巴),往往这样的人无法拥有精致的V脸(方下巴、国字脸较多),如果不是刘亦菲那样的高颜值,恐怕还真的撑不起整张脸。
损伤牙齿

图片来源网络
除了影响颜值,深覆合由于上牙盖住下牙,在咀嚼食物的时候,前面两颗牙互相磨损,就容易导致牙釉质损伤,时间一久,牙齿容易出现敏感症状。严重的深覆合甚至会引起牙周损伤,进而造成牙周炎、牙齿松动等问题。
引发颌关节疾病

图片来源网络
深覆合还可能引起颞下颌关节疾病,主要出现张口受限、关节弹响、疼痛等症状。

图片来源网络
引起深覆合的原因最常见的是遗传或先天性因素,所以,不论是从牙齿排列、咬合还是脸型来讲,通过正畸打开咬合是很有必要的。
【本文来源子和口腔官方公众号:cdzhkq】
-
- 关注重点项目北碚万达广场主体封顶,开业还远吗?
-
2026-01-23 03:17:22
-
- 最高检:严厉打击涉毒自洗钱犯罪
-
2026-01-23 03:15:08
-
- 曝光:临汾“深圳优智文化”投资3900元学习卡传销骗局
-
2026-01-22 06:21:40
-
- 痛批张一鸣“魔王”,陈伟星意欲何为?
-
2026-01-22 06:19:26
-
- 「FGO」英灵原型介绍:源赖光 武门之名将,朝家之守护
-
2026-01-22 06:17:11
-
- 「FGO」英灵原型介绍:源赖光 武门之名将,朝家之守护
-
2026-01-22 06:14:57
-
- 原创 - 闪送:同城即时速递的领军者
-
2026-01-22 06:12:43
-
- 中山大学 2024 年公共管理硕士 ( MPA ) 招生简章
-
2026-01-22 06:10:28
-
- 骊靬人真的是罗马人后裔吗?
-
2026-01-22 06:08:14
-
- 出国打工啥体验?我,意大利打工12年,不内卷能赚钱,但是真累
-
2026-01-22 06:06:00
-
- 黄百鸣卖力奋斗一辈子,为这事伤透脑壳
-
2026-01-22 06:03:45
-
- 毕生追求空速纪录的传奇飞机设计师-梅塞施密特教授
-
2026-01-22 06:01:31
-
- 南京交通职业技术学院:1500个招生计划,交通类特色专业任选
-
2026-01-21 17:23:01
-
- 各省“高考难度排名”更新:河北仅排第二,第一梯队堪称地狱模式
-
2026-01-21 17:20:47
-
- 曹植:才子与诗歌的传奇,232年12月27日,曹植去世。
-
2026-01-21 17:18:33
-
- 百年前的今天,上海虹桥机场破土动工!这里曾发生过“虹桥机场事件”……
-
2026-01-21 17:16:18
-
- 石油大学风云录(4)
-
2026-01-21 17:14:04
-
- 海珠|点个赞就能拍拖?“赞拖”是新机会还是新陷阱?
-
2026-01-21 17:11:50
-
- 冯雷,长的挺帅为何老演坏人?
-
2026-01-21 17:09:35
-
- 冲上热搜!娃娃机玩偶不能放床头?网友吵翻
-
2026-01-21 17:07:21



80年代,蔡明和丈夫丁秋星以及儿子的合影
陈震的爸爸是谁,陈震的二环十三郎事件是怎么回事